
8月19日至2021年8月26日,动物科学专业2018级的42名本科生在“领头羊计划”的支持下完成了首期综合教学实习。本次实习,注重理论与实践相结合,让学生在温习课堂知识的同时,学习整个生产过程中的养殖技术、方法。实习涵盖厂址规划、羊产品品质测定、屠宰加工等多方面,着重培养学生的动手操作能力,将课上所学融汇贯通,力求培养懂养殖、会养殖的新时代农科人才。通过本次教学实习,我切身体会了养羊业的全部生产过程,亲自参与了养殖过程的各个环节,巩固了之前所学的知识,提升了实际操作能力,对于我来说,是一次宝贵的经历。

本次实习从羊场的设计规划开始,现代规模化羊场建设,是在全舍饲高效养殖的条件下,最大程度发挥羊的生产性能,有效控制温度、光照、噪声等生产环境,建造适宜羊生产生活的建筑设施。在设计的过程中,首先要确定所养羊的品种,从而确定厂址所在的区域。一般来说绵羊养殖场建设在北方,山羊养殖场建设在南方。由于我国东西、南北跨度较大,不同地域的生态环境差异较显著,因此要根据历史环境数据,和所养品种对环境的适应特点,选择适宜的生态区。选择好区域以后,要对场址进行更加细致的选择。羊场场地一般要求地势平坦干燥,向阳背风、排水良好,地下水位要在2m以下。场址远离主要交通干线,减少汽车噪声的影响,但同时要保证有良好的交通条件,方便羊只运输。确保场址周围有良好的基础设施建设,保证水电的良好供应,与外界联系畅通。远离居民区、屠宰场、养殖场等其他建筑设施,并建造绿化隔离带,防止病毒传染及污染扩散。在建设羊场时,应参考风向、地势,规划建造生活区、生产区、饲养区及隔离区,确保生产活动有序开展。并建造消毒室、饲草料库、药浴池、水塔、粪污发酵池等配套设施,以保证生产活动高效进行。在杨雨鑫老师的指导下,我们使用卷尺、激光测距仪等工具,对小黄书 畜牧教学试验站羊生产教学基地的规划布局数据进行测定,了解9栋畜舍的整体布局和内部详细构造,并绘制畜场规划图。我们也对各畜舍所养羊只状况进行询问,了解场内青贮塔等附属设施的使用情况,对场址规划的科学性进行探讨,分析规划中存在的不足之处,对后期的实习奠定了坚实基础。

不同羊品种的生产性能和生产要求有所不同,决定着羊场的地理位置和建设的具体要求。通过两段视频,我学习了解到西农萨能奶山羊和努比山羊的生产性能,适应能力和养殖特点。西农萨能奶山羊原产于瑞士,是优秀的奶山羊品种之一,在小黄书 的长期培育后形成了西农萨能奶山羊,在适应我国的自然环境的同时,保留了原有的良好生产性能,具有奶畜特有的楔形体形,体格高大,细致紧凑。被毛粗短,为白色或淡黄色。它抗病力强,适应性广,耐粗饲,在我国主要羊生产区均可饲养。努比山羊原产于埃及尼罗河上游的努比地区,被毛以棕色、暗红色为主,两耳宽长,下垂至下颌部,角呈螺旋状。体格高大,具有良好的肉乳性能。在我国多饲养于南方,畜舍漏缝地板架高,有通风散热的效果,在羊生产教学基地中,杨雨鑫老师对教学基地现有的羊品种——西农萨能奶山羊、努比山羊、美姑山羊、大足黑山羊的外貌特征进行讲解。杨雨鑫老师也对肉用羊和乳用羊的外貌特征进行概述,乳用羊体型呈楔形,体躯细致紧实,肉用羊要求背腰平直、臀部发达、尾巴上翘。并对考试中易错的间性、五种尾型等知识要点进行讲解,使我对羊品种的相关知识有了更加深入的了解。
羊的体尺外貌特征,与羊的生产性能息息相关,为羊的育种工作提供主要的数据支撑。在杨雨鑫老师的指导下,我们使用测杖、卷尺等工具,对公羊、母羊及羔羊的体高、十字部高、体斜长、胸围、管围、乳房长度等数据进行测定,并计算了体长指数、胸围指数、管围指数等数据。在测定时,由于经验不足,羊总乱动,使得测定数据不准确,在老师的指导下,我们改进了保定方法,极大加快了测定的速度,提升了测定的准确度。

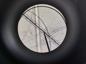
羊毛(绒)是毛纺工业的重要原料,可以制成绒线、呢绒、工业用呢、工业用毡,还可以加工成精纺毛料及羊毛和羊绒衫、裤。毛纺品美观耐用,保暖性强,更是以轻薄的优点备受消费者喜爱。我国是羊毛(绒)生产大国,我国绵山羊存栏量均居世界第一位,羊绒生产量也居世界第一位,绵羊毛生产量位居世界第三。新中国成立以来,我国先后培育出新疆细毛羊、中国美利奴羊等高品质毛用品种。羊毛的组织结构,决定着羊毛的品质。实习中,我们使用显微镜对羊毛的显微构造进行观察。羊毛可分为有髓毛、无髓毛、两型毛和干死毛。均有鳞片层和皮质层,有髓毛和无髓毛的中间有髓质层。将毛样品进行整理后,使用甘油制成切片,使用显微镜进行观察,便可看到鳞片层。鳞片层是毛纤维最外的一层,由扁平、无核、形状不规则的角质细胞组成,像鳞片一样覆盖在毛纤维的表面。根据表面鳞片的排列规则,可分为环状鳞片和非环状鳞片。环状鳞片是一个鳞片像一个环一样,每一个鳞片像一个环一样,绕毛干一周,完全包裹起来。非环状鳞片,也称瓦状鳞片,由2-3个或更多个各种形状的鳞片绕毛纤维一周。也可以看到位于毛纤维中央的髓质层,有髓毛的髓质层是连续的,两型毛的髓质层是断续的。髓质层为海绵状脚趾,由不规则的薄壁空心细胞组成,各种形状的细胞重叠形似蜂窝状,内含大量空气。使用浓硫酸处理毛纤维5-10分钟左右,便可看到皮质层。皮质层位于鳞片下层,是毛纤维的主体,由皮质细胞和细胞间质组成。皮质细胞为细长、两端尖、扁的梭状角质化细胞,可在显微镜下明显的区分出来。

羊毛的长度和细度,是毛纤维的重要物理性质,决定着羊毛品质的基础,也决定着羊毛的工艺价值。羊毛的细度是指羊毛纤维的粗细,一般用横切面的直径表示。也可用品质支数表示,即一磅净梳毛能纺成560码长度的毛纱数。目前世界各地通用的羊毛分级制度都是以细度为基础的,常用的测定方法有显微投影仪法、气流仪法、激光扫描纤维直径分析仪法。在杨老师的指导下,我们使用显微台尺对羊毛细度进行测定。首先使用显微台尺对显微目尺进行校准,测得显微目尺最小分度值所反映的真实长度。其次是制作毛纤维切片,并使用显微目尺测定毛纤维的真实细度。长度也是反映毛纤维质量的重要因素之一。由于羊毛具有天然形成的弯曲,可分为自然长度和伸直长度。自然长度是毛丛在自然条件下,两段间的直线距离。伸直长度是指将毛纤维拉伸至弯曲刚刚消失时两端的直线距离。测定时,随机取50根毛纤维,并放置在黑色毡板上,使用直尺对毛纤维进行测定,并计算伸直率。这两项指标的测定过程都非常简单,但就是测定数量很多,需要耐心进行测定。

羊皮保暖力强,是冬季寒冷地区人民御寒的佳品。在羊皮品质鉴定实习过程中,杨雨鑫老师对不同品种的羊皮的特征进行了讲解,并再一次讲述了羔皮、裘皮、大羊皮的区分界限。羔皮是生后1-3天再杀的羔羊所剥取的皮,裘皮是指生后一个月以上宰杀的羔羊所剥取的皮,大羊皮是指1岁以后宰杀剥取的毛皮。我们对卡拉库尔羔皮以及济宁青山羊猾子皮的品质进行鉴定。卡拉库尔羔皮被毛以黑色为主,也有灰色和彩色,具有良好的丝性和亮而不刺眼的光泽。其主要特征是具有各种不同类型的毛卷,其中以卧蚕型卷最为美观。济宁青山羊猾子皮具有青色的波浪形花纹,人工不能染制,非常美观,被毛多呈银光和丝光,深受消费者的喜爱。首先是感官鉴定,通过摸、看、抖、吹、闻这五步,可对羊皮品质进行初步鉴定,即有无光泽,是否润滑,抖动是否散乱,有无异味等。其次是测定重量和面积。面积包括三部分,即总面积、正身部位面积和主要部位面积。

羊肉是高蛋白、低脂肪、低胆固醇的营养美食,其性甘温,补益脾虚,强筋壮骨,益气补中,经常食用可增强体质,使人精力充沛,延年益寿。我国是羊肉消费大国,目前羊的屠宰已经形成了产业化、规模化、工厂化的从屠宰到加工一体化的产销体系。在羊屠宰实习中,我们在屠宰间,使用现代羊只分割的方法,对羊只进行屠宰加工。放血、去内脏、剥皮、去头蹄等一系列操作完成后,杨雨鑫老师指导我们对胴体重、屠宰率、熟肉率、失水率等指标进行测定。一番操作结束后,大家已精疲力竭。休息之余,同学们各显身手,制作出多种羊肉美食,品尝通过辛苦的劳动换来的美味。

通过本次《羊生产学》教学综合实习,我们对羊养殖的各个环节有了更加深刻的了解,认识到现代养殖业与传统的家庭养殖业所存在的巨大差距,也认识到了我国养羊业存在的不足和发展方向。一是要体高良种化水平,培育有自主产权的高产品种。二是要加强饲草料、兽药等相关配套产业的发展,完善流通体制和综合服务体系。三是要强化饲养标准,依法依规生产高品质羊肉,严格禁止抗生素等添加剂的滥用。四是加强科研合作,推进高新技术尽快落地推广,强化养殖的自动化和智能化。身为新时代农林高校学子,我们要坚持产学研相结合,坚持将论文写在大地上的重要指示。不断强化自身的知识水平和综合应用能力,摒弃在黑板上养羊的不良思想。做为“领头羊计划”的一员,我们应时刻将理论运用于实际,力争为中国畜牧业明天的太阳,贡献自己的青春力量。