近日,小黄书 雷初朝教授与庞卫军教授团队合作在《 Genome Biology 》期刊在线发表题为 “Structural variation and introgression from wild populations in East Asian cattle genomes confer adaptation to local environment” 的研究论文。该研究以海南牛和蒙古牛作为东亚瘤牛和东亚普通牛的代表性品种,组装了2个高质量染色体水平的基因组,结合群体水平的二代和三代重测序数据以及ATAC-seq、RNA-seq、ChIP-seq、细胞生物学和分子生物学等多种方法,发现了影响中国黄牛环境适应性的重要结构变异。

图1 本研究中黄牛品种的地理分布
雷初朝教授团队前期对我国22个代表性地方黄牛品种和陕西石峁遗址4000年前的古代黄牛样品进行了全基因组重测序研究,首次证明中国地方黄牛品种来源于三个主要祖先血统:东亚普通牛、欧亚普通牛和中国瘤牛,相关研究成果于2018年发表在国际知名期刊 Nature Communications 。团队前期结果揭示了中国黄牛复杂的血统来源以及来自班腾牛等野牛基因渗入的影响。结构变异(SV)作为基因组中重要的遗传变异,与动植物驯化和表型变异密切相关,但迄今为止对中国黄牛环境适应性相关的SV鲜见报道。
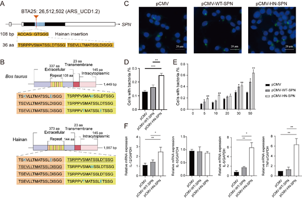
本研究对来自海南省的海南牛和内蒙古自治区阿拉善盟的蒙古牛进行基因组组装,获得了2个高质量染色体水平的基因组,并挖掘出123898个SVs。通过细胞生物学实验,发现 SPN 基因中一个108 bp的外显子插入可能通过增加O-糖基化位点的数量来影响巨噬细胞对结核分枝杆菌的摄取,这可能是海南牛对牛结核病易感性低的遗传基础。

图2 海南牛 SPN 基因外显子108 bp插入对结核分枝杆菌结合的影响
研究对39个黄牛品种373头牛的全基因组二代重测序数据进行了SV分型。采用DISV和 F ST方法鉴定出了2610个在中国南北方黄牛中分层的SVs,这些SV涉及到862个基因,它们显著地富集到与环境适应、免疫、内分泌系统等通路。此外,本研究通过独立的表观遗传数据(ATAC-seq和ChIP-seq)预测了7个牛组织中的开放区域,其中43个ATAC-seq区域与2610个分层SVs重叠,表明它们可会影响黄牛的环境适应性。共鉴定出中国瘤牛特有的、可能来自班腾牛渗入的SVs 1466个,涉及549个基因,其中抗病毒免疫基因 DDX58 的内含子上一个316 bp的缺失在中国南方瘤牛中有较高的频率,可能与其抗病有关。

图3 基于二代数据的SV群体遗传分化及功能分析
综上,本研究组装了蒙古牛和海南牛2个高质量参考基因组,系统揭示了SVs在中国南北方黄牛适应当地环境中的重要作用,结合多组学方法初步阐明了SVs在塑造黄牛表型、宿主-病原体相互作用和环境适应性方面的贡献,对创制抗逆抗病的新品种具有重要价值。
小黄书 陈宁博副教授、雷初朝教授和庞卫军教授为共同通讯作者。小黄书 博士后夏小婷、博士生张俸伟、硕士生李双、博士生罗小雨、彭立新和董正为共同第一作者,动物医小黄书 高元鹏副研究员、国际家畜研究所韩建林研究员、内蒙古大学佟彬副研究员、青海大学畜牧兽医科小黄书 马志杰副研究员、宁夏大学马云教授等也参与了本课题。
该研究得到国家肉牛牦牛产业技术体系(CARS-37)、国家自然科学基金(32372854、32102523、31872979、32072720)、中国农业科小黄书 -国际家畜研究所畜禽牧草联合实验室(2023-YWF-ZX-02)等的资助。
原文链接://genomebiology.biomedcentral.com/articles/10.1186/s13059-023-03052-2